Fotos werden noch aktualisiert.
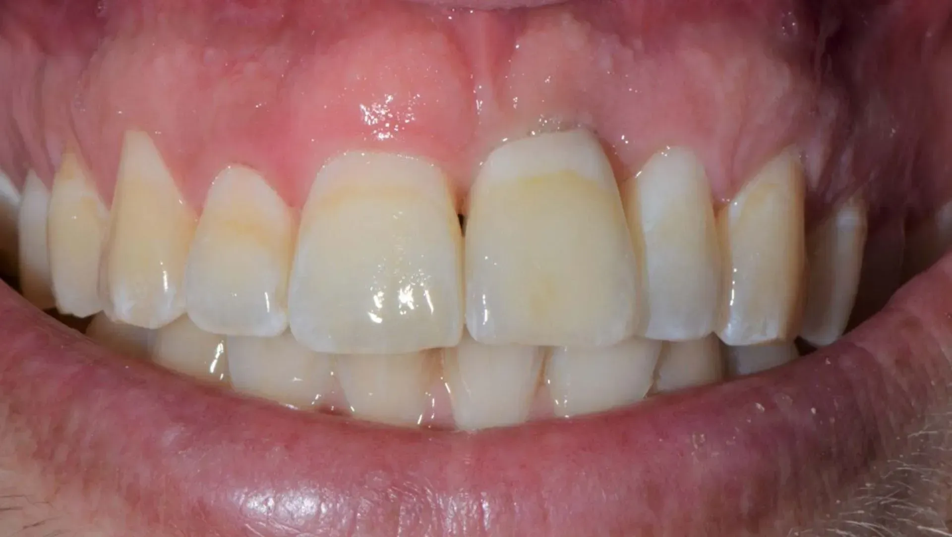
12/22 Zapfenzähne mit Presskeramik geschichtet
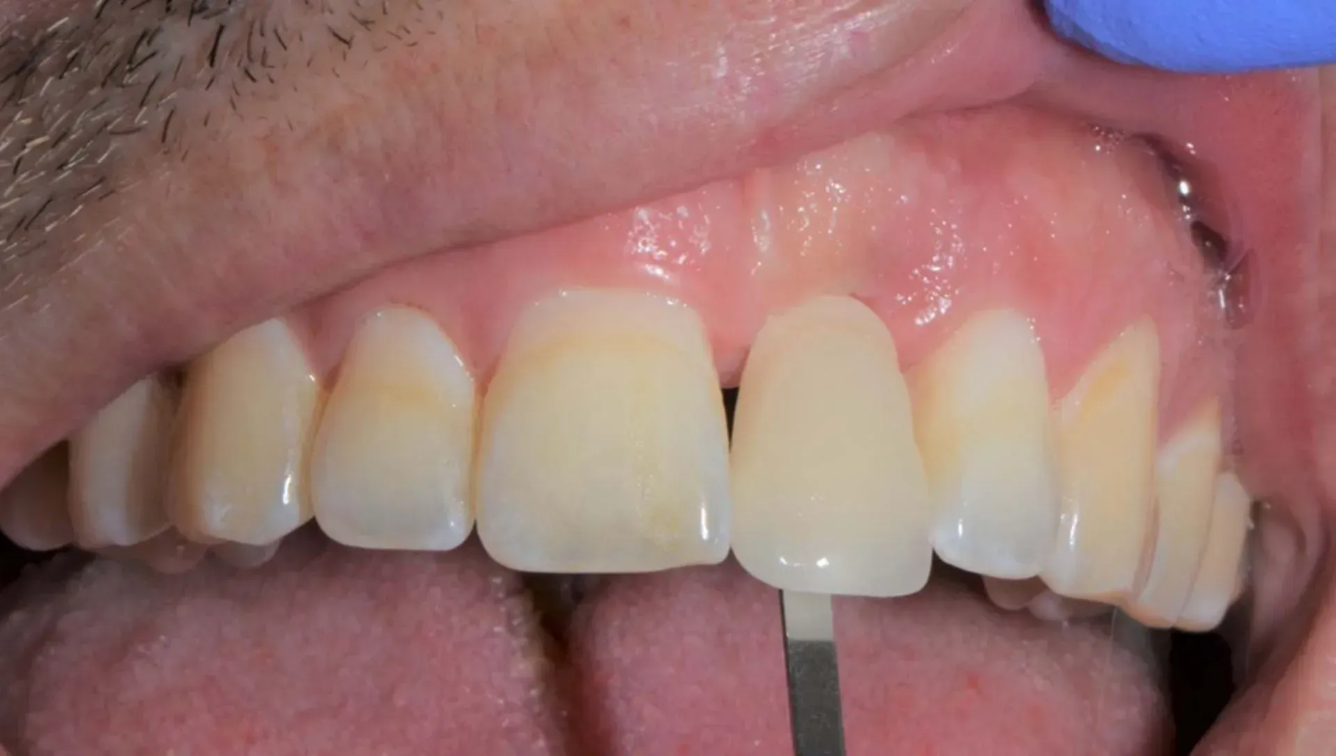
12/11/21/22 Non Prep Veneers auf feuerfesten Stümpfen geschichtet
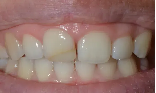
21 Zirkonoxidkrone verblendet auf Goldaufbau
21 Implantatkrone verschraubt. Presskeramik geschichtet
12/11/21/22 Non Prep Veneers geschichtet
11 Non Prep Veneer
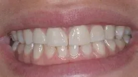
OK und UK Totalprothesen Neuversorgung
OK und UK Neuversorgung
Adresse
dental technik claudia meier
Sonnenrain 20
6103 Schwarzenberg
Telefon +41 41 320 20 60
E-Mail dentaltechnik-claudiameier@bluewin.ch
Impressum
Datenschutzerklärung